전립선자료실
페이지 정보
본문
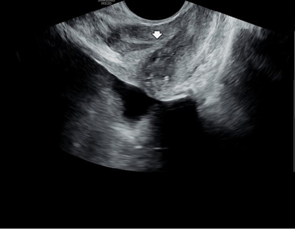
수년 전부터 배뇨중 타는 듯한 느낌의 작열 감과 배뇨 장애로 여러 비뇨기과에서 치료를 했으나 증상의 호전이 없어 내원 당일 검사한 경직장 전립선
초음파 검사 상 사정관 입구의 미세 결석과 사정관 낭종이 관찰되는 사진입니다.
A transrectal prostate ultrasound image taken on the day of the visit from a patient who had experienced a burning sensation during urination and voiding dysfunction for several years. Despite receiving treatment at multiple urology clinics, symptoms did not improve. The ultrasound shows microcalcifications and a cyst at the opening of the ejaculatory duct.
불규칙 으로 전립선의 표적치료를 했으나 내원 당일 전립선의 표적 치료후 치료된 현미경학적 검사 자료입니다.
Microscopic examination findings taken on the day of the visit, showing treated tissue following irregularly administered targeted prostate therapy.
주 2회 전립선의 표적 치료후 사정관 입구와 사정관의 낭종 속에 있는 탈락된 상피세포 덩어리의 현미경학적 자료입니다.
Microscopic findings of desquamated epithelial cell clusters within cysts of the ejaculatory duct and its opening,
observed after biweekly targeted prostate therapy.
내원 당일 경직장 전립선 초음파 검사중 사정관 내에 미세 결석이 관찰되는 초음파 사진입니다.
A transrectal prostate ultrasound image taken on the day of the visit shows microcalcifications within the ejaculatory duct.
전립선과 정낭 그리고 정관등이 수명을 다한 상피세포가 탈락되어 전립선관과 사정관 그리고 정관등에 막혀 있던 상피세포가 치료되어 관찰된 현미경학적 자료입니다.
Microscopic findings showing the treated and expelled desquamated epithelial cells that had accumulated and obstructed the prostatic ducts, ejaculatory ducts, and vas deferens, following the natural shedding of aged epithelial cells from the prostate, seminal vesicles, and vas deferens.
내원 당일 배뇨시 작열감과 통증을 초래했던 경직장 전립선 측면과 정면 초음파 사진입니다.
Transrectal prostate ultrasound images (lateral and frontal views) taken on the day of the visit,
showing findings related to the burning sensation and pain experienced during urination.
전립선의 표적치료후 막혀 있던 상피세포가 자체 흡수 작용을 했으나 제거 되지 않고 정액의 순환 장애를 초래하는 사멸 세포가 제거된 현미경학적 자료입니다.
Microscopic findings showing the removal of necrotic epithelial cells, which had not been fully eliminated despite partial self-absorption after targeted prostate therapy and had caused impaired semen circulation.

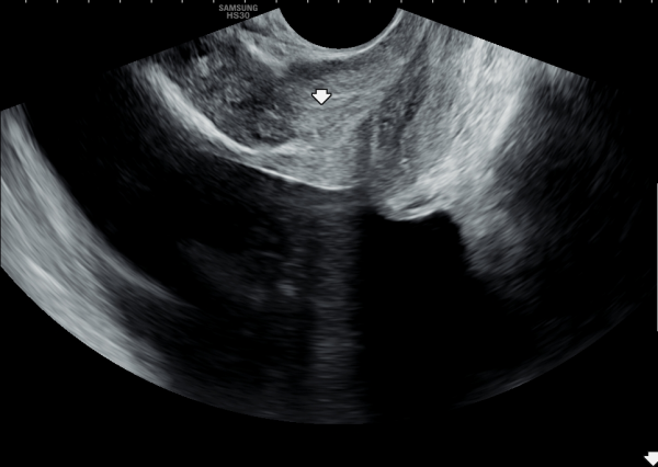
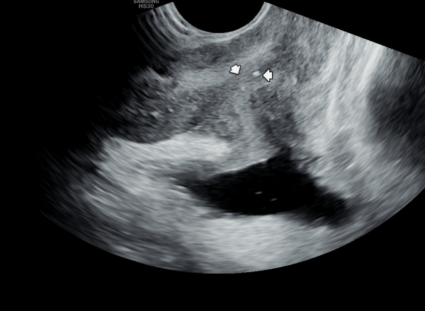
상급 의료 기관에서 회음부 통증과 배뇨장애등의 증상이 치료 되지 않아 내원 당일 경직장 전립선 초음파 검사상 사정관입구의 순환 장애로 사정관 낭종이 관찰되는 경직장 전립선 초음피 사진입니다.
This is a transrectal prostate ultrasound image taken on the day of the patient’s first visit, following persistent perineal pain and urinary symptoms that were not resolved at a tertiary care hospital. The image shows a seminal duct (ejaculatory duct) cyst caused by circulatory obstruction at the duct opening.
주 2~3회 가량 전립선의 표적 치료후 사정관 낭종이 치료 되었으나 사정관 주위에 탈락된 상피 세포의 관리가 필요한 추적 경직장 전립선 초음파 사진입니다.
This is a follow-up transrectal prostate ultrasound image taken after receiving targeted prostate therapy 2 to 3 times per week. The ejaculatory duct cyst has been resolved, but there is a need for continued management of the exfoliated epithelial cells around the ejaculatory ducts.
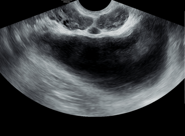
첫 내원 당일 경직장 전립선 초음파 검사상 사정관의 순환 장애로 정낭의 다발성 낭종이 관찰되는 사진입니다.
This is a transrectal prostate ultrasound image taken on the first day of the patient’s visit, showing multiple seminal vesicle cysts caused by impaired circulation in the ejaculatory ducts.
주 2~3회 전립선의 표적 치료후 전립선과 사정관과 정낭 그리고 정관의 순환 장애가 개선되어 정낭의 다발성 낭종이 좋아지고 있는 경직장 정낭의 초음파 사진입니다.
A transrectal ultrasound image of the seminal vesicles showing improvement of multiple seminal vesicle cysts as a result of enhanced circulation in the prostate, ejaculatory ducts, seminal vesicles, and vas deferens following targeted prostate therapy administered 2 to 3 times per week.
주 2~3회 전립선의 표적 치료후 사정관의 순환 장애가 개선되어 사정관의 낭종과 만성 골반통 증후군 그리고 배뇨장애 등의 증상이 개선 되었으나 사정관내 탈락된 상피 세포의 치료와 관리가 필요한
추적 경직장 전립선 초음파 사진입니다.
This is a follow-up transrectal prostate ultrasound image taken after targeted prostate therapy performed 2–3 times per week. The treatment has improved circulation in the ejaculatory ducts, leading to a reduction in ejaculatory duct cysts, chronic pelvic pain syndrome, and urinary symptoms. However, further treatment and management of the exfoliated epithelial cells within the ejaculatory ducts are still necessary.
댓글목록
등록된 댓글이 없습니다.
