전립선 자료실
페이지 정보
본문
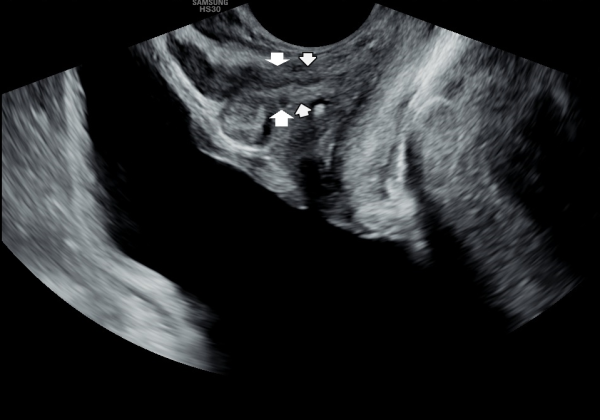
수년전 배뇨장애와 야간 빈뇨 그리고 가슴이 답답하다고 내원 당일 검사한 경직장 전립선 초음파 사진(160/100 - 99-81Kg)
사정관내 탈락된 상피 세포 덩어리가 군데 군데 관찰되고 쌓여서 사정관 입구와 전립선 관 등에 결석을 형성하고 있는 자료입니다.
Transrectal prostate ultrasound image taken on the day of visit due to several years of voiding difficulties, nocturnal frequency, and chest tightness (160/100/99–81kg).
Clusters of desquamated epithelial cells are observed in various areas within the ejaculatory ducts, accumulating to form stones at the ejaculatory duct orifices and within the prostatic ducts.
내원 당일 검사한 혈액학적 검사 자료상 간기능 검사상 수치가 증가 되어 있고 지방간 의심이 되며 중성지방 수치가 약간 상승 되어 있고 당화 혈색소가 7.1 % 그리고 혈액내 임파구가 증가되어 있고
혈중내 Vit D 수치가 떨어져 있으며 철 결핍이 의심되며 갑상선 기능저하가 약간 있는 혈액학적 검사 자료입니다.
The hematological test results on the day of visit show elevated liver function levels, suggesting possible fatty liver. Triglyceride levels are mildly elevated, and the HbA1c is 7.1%. There is an increase in lymphocytes in the blood, with a decreased vitamin D level, suspected iron deficiency, and slightly reduced thyroid function.
내원 당일 전립선의 표적 치료후 전립선액의 배양 검사 및 항생제 민감도 검사 결과 Pseudomonas pseudoalcaligenes 1+(Gram Negative Bacilli)지 입니다.
On the day of the visit, following targeted prostatic treatment, culture and antibiotic sensitivity testing of the expressed prostatic secretion revealed Pseudomonas pseudoalcaligenes 1+ (Gram-negative bacilli).
Pseudomonas pseudoalcaligenes 1+ (Gram-negative bacilli).
주 2회 내지 3회 전립선의 표적 치료후 사정관과 정낭등에 탈락된 상피 세포와 혈정액의 현미경 학적 검사 자료입니다.
Microscopic examination findings of exfoliated epithelial cells and hemospermia in the ejaculatory ducts
and seminal vesicles after targeted prostatic treatment performed two to three times per week.
주 2회 내지 3회 전립선의 표적 치료후 사정관과 입구에 막혀 있던 결석과 혈정액이 배출된 현미경학적 자료입니다.
Microscopic findings of expelled calculi and hemospermia that had been obstructing the ejaculatory ducts and their openings, following targeted prostatic treatment administered two to three times per week.
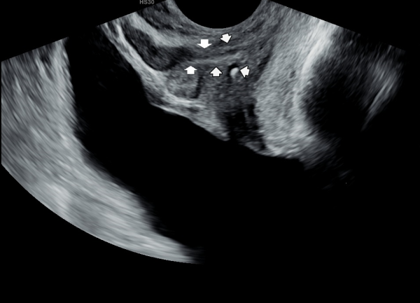
주 2~3회 전립선의 표적 치료 약 5개월후 추적 경직장 전립선의 초음파 사진상 사정관 입구에 있던 결석이 감소 되고 사정관내 탈락된 상피 세포가 치료된 사진입니다.
Follow-up transrectal ultrasound image of the prostate after approximately 5 months of targeted prostatic treatment (2–3 times per week), showing a reduction in the calculi at the ejaculatory duct opening and improvement in the exfoliated epithelial cells within the ejaculatory duct.
주 2~3회 전립선의 표적 치료 약 5개월뒤 추적 혈액학적 검사상 간기능과 지방간의 수치가 치료되고 중성 지방이 감소하고 철 결핍성 빈혈이 개선되고 당화 혈색소가 5.8 %로 치료되고 혈액내 염증세포가 없어지고 혈중 Vit D가 정상 수치로 치료되고 갑상선 기능저하 의심이 감소하고 있는 추적 자료입니다.
This is follow-up hematological data approximately 5 months after targeted prostatic treatment administered 2–3 times per week, showing improvement in liver function and fatty liver indices, a reduction in triglyceride levels, resolution of iron deficiency anemia, and normalization of HbA1c to 5.8%. Inflammatory cells in the blood have disappeared, vitamin D levels have returned to normal, and the previously suspected hypothyroidism has shown signs of improvement.
5개월 가량 주 2회 이상 전립선의 표적 치료후 전립선의 Pseudomonas 균이 치료된 추적 배양 검사 결과지 입니다.
This is a follow-up culture test result showing that the Pseudomonas bacteria in the prostate have been treated after approximately five months of targeted prostatic therapy conducted more than twice a week.
주 2회 이상 전립선의 표적 치료후 치료된 사정관과 전립선관 그리고 정관등에 배출된 결석과 혈정액의 현미경학적 자료입니다.
This is microscopic data showing the expelled calculi and hemospermia from the treated ejaculatory ducts, prostatic ducts,
and vas deferens after undergoing targeted prostatic treatment more than twice a week.
주 2회 이상 전립선의 표적 치료후 치료된 전립선의 섬유 덩어리(clumps of fibrin)의 현미경학적 자료입니다.
This is microscopic data showing clumps of fibrin from the treated prostate after receiving targeted prostatic treatment more than twice a week.
주 2회 이상 전립선의 표적 치료를 권유했으나 치료를 받지 못해 추적 혈액 종합 검사 수치상 약간의 변동 있는 혈액학적 검사 자료입니다.
Although targeted prostatic treatment more than twice a week was recommended, the patient was unable to receive it, and the follow-up comprehensive blood test shows slight variations in hematological parameters
간헐적 전립선의 표적 치료중 만성 전립선염, 만성 골반통 증후군,전립선 비대와 낭종,결절
그리고 전립선 결석, 정낭과 사정관 입구의 결석과 사정관과 정관 등에 쌓여 있던 탈락된 상피 세포가 치료된 현미경학적 자료입니다.
This is a histological (microscopic) image showing improvement during intermittent targeted prostatic treatment, where chronic prostatitis, chronic pelvic pain syndrome, prostatic hyperplasia with cysts and nodules, prostatic calculi, and epithelial cell debris accumulated in the seminal vesicles, ejaculatory duct openings, ejaculatory ducts, and vas deferens have been treated.
그러나 바쁜 일상 생활과 빈뇨와 배뇨장애 그리고 야간 빈뇨 등의 증상이 좋아 지고 나서 전립선의 관리를 하지 못할 경우 탈락된 상피세포가
사정관의 입구와 사정관 주위에 다시 침착하고 점점 만성 골반통 증후군과 만성 전립선염과 전립선 비대증 그리고 전립선의 악성 종양이 생길수
있는 추적 경직장 전립선의 초음파 사진입니다.
주 1회 전립선과 사정관, 정낭 그리고 정관등의 표적 치료후 막혀 있던 상피 세포가 치료된 현미경학적 자료입니다.
환자분의 개인 사정상 주 1회 가량 전립선의 표적 치료를 한후 탈락된 상피세포가 사정관 입구와 사정관에내에 참착되어 추적 경직장 전립선의 초음파 검사상 석회가 관찰되는 자료입니다.
Due to the patient's personal circumstances, targeted prostatic therapy was performed approximately once a week. As a result, exfoliated epithelial cells became deposited at the ejaculatory duct orifice and within the ejaculatory duct, and calcifications were observed on follow-up transrectal prostate ultrasound imaging.
주 1회 혹은 간헐적 전립선의 표적 치료시 치료된 염증세포와 전립선 혹은 사정관내 배출된 결석과 탈락된 상피세포등의 현미경학적 자료입니다.
This is microscopic data showing treated inflammatory cells, as well as discharged stones and exfoliated epithelial cells from the prostate or ejaculatory ducts after once-weekly or intermittent targeted prostatic therapy.
주 1회 치료시 주 2회 이상 전립선의 표적치료시 조절 되었던 혈당관리 즉 당화 혈색소 5.8 % 에서 6.4%로 당뇨 전단계로 관리되고 있는
혈액학적 추적 검사 자료입니다.
This is hematological follow-up data showing that with once-weekly treatment, blood sugar control, which had been managed at a glycated hemoglobin (HbA1c) level of 5.8% with more than twice-weekly targeted prostatic therapy, has now shifted to a prediabetic stage with an HbA1c level of 6.4%.
![]()
주 1회 전립선 표적 치료시 전립선관과 사정관, 정관 그리고 정낭등에 쌓인 탈락된 상피세포의 치료보다 전립선관과 사정관 그리고 정관과 정관내의 내용물의 배출만 치료되고 있는 현미경학적 자료입니다.
This is microscopic data showing that with once-weekly targeted prostatic therapy, rather than treating the accumulated detached epithelial cells in the prostatic ducts, ejaculatory ducts, vas deferens, and seminal vesicles, only the discharge of contents within the prostatic ducts, ejaculatory ducts, and vas deferens is being treated.
다시 주 2회 치료후 사정관내 탈락되어 막혀있던 상피 세포 덩어리가 전립선의 표적 치료후 배출된 현미경학적 사진입니다.
This is a microscopic image showing clumps of exfoliated epithelial cells that had been blocking the ejaculatory duct,
discharged after targeted prostate treatment performed twice a week.
다시 주 2회 치료후 사정관내 탈락되어 막혀있던 상피 세포 덩어리가 전립선의 표적 치료후 배출된 현미경학적 사진입니다.
This is a microscopic image showing clumps of exfoliated epithelial cells that had been blocking the ejaculatory duct,
discharged after targeted prostate treatment performed twice a week.
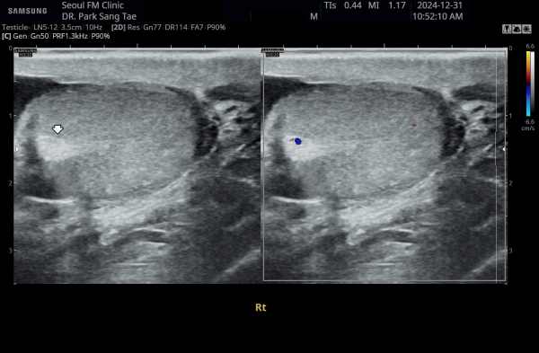
약 8개월 전 전립선과 전립선관,사정관,사정관입구,정낭 그리고 정관의 표적 치료전 우측 정관과 고환의 순환장애로
고환의 섬유화가 관찰되는 초음파 사진입니다.
This ultrasound image, taken about 8 months ago before starting targeted treatment of the prostate, prostatic ducts, ejaculatory ducts, seminal vesicles, and vas deferens, shows poor circulation in the right testicle. Due to this circulation problem, some fibrosis (scarring) of the testicle can be observed.
약 8개월후 전립선과 전립선관,사정관,사정관입구,정낭 그리고 정관의 표적 치료후 우측 정관과 고환의 순환장애가 치료되어
고환의 섬유화가 치료된 초음파 사진입니다.
This ultrasound image, taken about 8 months after starting targeted treatment of the prostate, prostatic ducts, ejaculatory ducts, seminal vesicles, and vas deferens, shows improved circulation in the right testicle. The previous scarring (fibrosis) has healed, indicating that the circulation problem in the vas deferens and testicle has been successfully treated.
사정관과 사정관 입구 그리고 정낭과 정관 더불어 전립선관의 표적 치료후 세포 수명을 다하고 막혀 있던 선상피 세포 덩어리의 치료된 현미경학적 자료 입니다.
Here is microscopic evidence showing the removal of aged and obstructing glandular epithelial cell clusters following targeted therapy of the ejaculatory ducts and their openings, the seminal vesicles, vas deferens, and prostatic ducts.
약 8개월 전 전립선과 전립선관,사정관,사정관입구,정낭 그리고 정관의 표적 치료전 좌측 정관과 고환의 순환장애로
고환의 섬유화가 관찰되는 초음파 사진입니다.
This ultrasound image, taken about 8 months ago before starting targeted treatment of the prostate, prostatic ducts, ejaculatory ducts, seminal vesicles, and vas deferens, shows poor circulation in the left testicle. Due to this circulation problem, some fibrosis (scarring) of the testicle can be observed.
약 8개월후 전립선과 전립선관,사정관,사정관입구,정낭 그리고 정관의 표적 치료후 좌측 정관과 고환의 순환장애가 치료되어
고환의 섬유화가 치료된 초음파 사진입니다.
This ultrasound image, taken about 8 months after starting targeted treatment of the prostate, prostatic ducts, ejaculatory ducts, seminal vesicles, and vas deferens, shows improved circulation in the left testicle. The previous scarring (fibrosis) has healed, indicating that the circulation problem in the vas deferens and testicle has been successfully treated.
사정관과 사정관 입구 그리고 정낭과 정관 더불어 전립선관의 표적 치료후 세포 수명을 다하고 막혀 있던 거짖 중층 원주 상피 세포의 치료된 현미경학적 자료 입니다.
Here is microscopic evidence showing the clearance of aged and obstructing pseudostratified columnar epithelial cells following targeted therapy of the ejaculatory ducts and their openings, the seminal vesicles, vas deferens, and prostatic ducts.
사정관과 사정관 입구 그리고 정낭과 정관 더불어 전립선관의 표적 치료후 세포 수명을 다하고 막혀 있던 거짖 중층 원주 상피 세포의 치료된 현미경학적 자료 입니다.
Here is microscopic evidence showing the clearance of aged and obstructing pseudostratified columnar epithelial cells following targeted therapy of the ejaculatory ducts and their openings, the seminal vesicles, vas deferens, and prostatic ducts.
전립선의 표적 치료후 사정관과 전립선관 그리고 정관내에 막혀 있던 탈락된 거짓 중층 원주 상피나 전립선내에 탈락된 선상피등의 현미경학적 자료 입니다.
This microscopic image shows old cells and debris that were blocking the ducts.
Your treatment has helped clear them out, which means the passages are opening and healing.
전립선의 후벽부와 양 주변구역 그리고 전벽부의 표적 치료후 탈락된 상피세포의 현미경학적 사진입니다.
These are microscopic images of shed (sloughed) epithelial cells observed after targeted treatment of the posterior wall, both peripheral zones, and the anterior wall of the prostate.
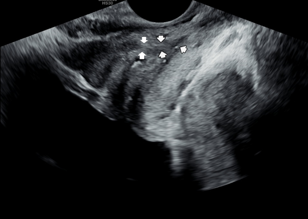
7개월 동안 전립선의 표적 치료후 사정관내 막혀있던 탈락된 상피세포와 노폐물이 치료되고 있는 추적 경직장 전립선 초음파 사진입니다.
A follow-up transrectal prostate ultrasound image after seven months of targeted prostate therapy, showing improvement in the previously obstructed ejaculatory ducts, with the clearance of shed epithelial cells and accumulated debris.
댓글목록
등록된 댓글이 없습니다.
